Chụp X-quang xơ phổi là phương pháp chẩn đoán hình ảnh bằng cách chiếu chùm tia X xuyên qua vùng ngực, giúp bác sĩ theo dõi và điều trị bệnh xơ phổi. Vậy khi nào cần chụp X-quang xơ phổi và ai cần chụp X-quang xơ phổi? Cùng Phòng khám Bệnh viện Đại học Y Dược 1 tìm hiểu chi tiết trong bài viết dưới đây!

1. Chụp X-Quang xơ phổi là gì?
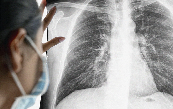
Chụp X-quang xơ phổi là kỹ thuật chẩn đoán không xâm lấn, cận lâm sàng, được sử dụng rộng rãi tại các cơ sở y tế. Chụp X-quang xơ phổi là phương pháp chẩn đoán hình ảnh bằng cách chiếu chùm tia X xuyên qua vùng ngực. Từ đó, trên tấm phim âm bản xuất hiện các hình ảnh chi tiết cho thấy thực trạng của phổi và tổn thương nếu có.
Vì thế, chụp X-quang xơ phổi giúp bác sĩ có thể phát hiện dấu hiệu bất thường như tổn thương khu trú hay lan tỏa, nguyên phát hay di căn đến phổi. Nếu phát hiện tình trạng xơ dạng tổ ong hay dạng lưới … là dấu hiệu thường thấy của bệnh xơ phổi, nguyên nhân do các mô sẹo hình thành tại nhu mô phổi.

Kỹ thuật chẩn đoán hình ảnh chụp X-quang xơ phổi
Các bước chụp X-quang xơ phổi được thực hiện nhanh chóng, tương đối dễ, mức giá phù hợp, hiệu quả chẩn đoán bệnh cao. Tuy nhiên, quá trình chụp X-quang xơ phổi thường chỉ có thể phát hiện các tổn thương với kích thước từ 2cm trở lên hay xơ phổi có hình dáng như tổ ong. Đối với các tổn thương mức độ nhẹ, mới hình thành, dưới 2cm có thể không phát hiện được qua kỹ thuật chụp X-quang xơ phổi. Ở các trường hợp này, người bệnh có thể được bác sĩ chỉ định tiến hành các kỹ thuật chẩn đoán bằng hình ảnh bổ sung như kỹ thuật chụp cắt lớp vi tính, đem lại kết quả chẩn đoán hiệu quả hơn.
2. Khi nào người bệnh cần chụp X-Quang xơ phổi?
Người bệnh thường chụp X-quang xơ phổi khi có chỉ định của bác sĩ. Dưới đây là một số trường hợp bác sĩ có thể chỉ định người bệnh chụp X-quang xơ phổi như:
- Người xuất hiện các triệu chứng của bệnh xơ phổi: Thông thường, khi người bệnh xuất hiện các triệu chứng lâm sàng như thở khò khè, khó thở, nặng hoặc tức ngực, đau ngực hay ho ra máu, ho khan kéo dài, sụt cân nhanh không rõ nguyên nhân, thường cảm thấy mệt mỏi, cơ xương khớp đau nhức … có thể được bác sĩ chỉ định thực hiện chụp X-quang xơ phổi. Qua kết quả chụp X-quang xơ phổi, bác sĩ có thể đánh giá và quan sát tình trạng phổi, phát hiện tổn thương (nếu có) hay tìm ra nguyên nhân gây nên các triệu chứng lâm sàng. Từ đó, bác sĩ có thể chẩn đoán và tìm ra phương pháp điều trị phù hợp cho các bệnh lý liên quan đến phổi, bao gồm cả bệnh xơ phổi.
- Người bệnh đang tiến hành điều trị bệnh xơ phổi: Bệnh xơ phổi thường được điều trị kéo dài, thậm chí có thể phải điều trị suốt đời. Vì thế, để theo dõi tình trạng tiến triển của bệnh xơ phổi, đánh giá mức độ cơ thể đáp ứng thuốc … Từ đó, bác sĩ có thể điều chỉnh phác đồ điều trị phù hợp, nâng cao hiệu quả chữa bệnh.

Khi nào người bệnh cần chụp X-quang xơ phổi?
- Người bệnh kiểm tra, khám sức khỏe tổng quát định kỳ: Người có mong muốn khám sức khỏe định kỳ hay có nhu cầu tầm soát bệnh ở phổi, đặc biệt là nhóm người có nguy cơ mắc bệnh xơ phổi cao như nơi làm việc, môi trường sống tiếp xúc với nhiều bụi mịn hoặc khói, nhất là chất amiăng; người từng mắc bệnh viêm phổi, lao phổi, nhồi máu phổi, covid-19 … cũng có thể được bác sĩ chỉ định thực hiện chụp X-quang xơ phổi. Việc chụp X-quang khảo sát xơ phổi giúp bác sĩ phát hiện sớm căn bệnh xơ phổi (nếu có) hay tầm soát yếu tố nguy cơ gây bệnh. Từ đó, bác sĩ có thể giúp người bệnh điều trị hiệu quả và cải thiện tình trạng bệnh.
3. Các bước thực hiện chụp X-Quang xơ phổi
Chụp X-quang là phương pháp chẩn đoán bệnh thông qua hình ảnh được tạo bằng cách sử dụng chùm tia X – dạng bức xạ nhân tạo hay sóng điện từ. Tia X có thể ảnh hưởng sức khỏe của con người nếu các điều kiện an toàn không được đảm bảo thực hiện đúng. Vì thế, quy trình chụp X-quang xơ phổi nên được thực hiện bởi bác sĩ hay các chuyên gia y tế để đảm bảo tính an toàn và mang lại giá trị chẩn đoán cao.
3.1. Chuẩn bị trước khi chụp X-Quang xơ phổi
Chụp X-quang xơ phổi là kỹ thuật chẩn đoán cận lâm sàng và không xâm lấn. Người bệnh thông thường không cần chuẩn bị gì trước khi chụp X-quang xơ phổi. Các hoạt động hàng ngày như ăn, uống, nghỉ, ngủ và sử dụng thuốc để điều trị bệnh có thể thực hiện bình thường.
Tuy nhiên, ở các trường hợp phụ nữ đang mang thai hay nghi ngờ mang thai nên thông báo cho bác sĩ trước khi chụp X-quang xơ phổi. Nguyên nhân do chùm tia X có thể ảnh hưởng đến sự phát triển của thai nhi cũng như gây hại đến sức khỏe của mẹ bầu.
Ngoài ra, thời gian chụp X-quang lần gần nhất cũng như trong năm đã chụp X-quang bao nhiêu lần, người bệnh nên cung cấp thông tin chính xác cho bác sĩ biết. Chủ động thực hiện điều này giúp người bệnh phòng tránh tình trạng chụp X-quang quá nhiều lần trong thời gian ngắn, ảnh hưởng sức khỏe người bệnh.
3.2. Tiến hành chụp X-Quang xơ phổi
Để đảm bảo chất lượng hình ảnh X-quang xơ phổi, người bệnh có thể được kỹ thuật viên yêu cầu cởi bỏ phụ kiện kim loại, trang sức. Ngoài ra, người bệnh có thể được yêu cầu thay áo mỏng theo mẫu được thiết kế riêng của các cơ sở y tế. Đặc biệt ở nữ giới nên cởi áo ngực trước khi tiến hành chụp X-quang.

Chụp X-quang xơ phổi giúp phát hiện tổn thương và đánh giá tình trạng phổi
Sau đó, người bệnh sẽ được kỹ thuật viên hướng dẫn đứng vào vị trí đúng để máy X-quang có thể chụp trọn vẹn cấu trúc hai bên phổi. Người bệnh nên thả lỏng cơ thể khi chụp X-quang xơ phổi, hít thở sâu, giữ tư thế đúng theo hướng dẫn của kỹ thuật viên.
Thông thường, khi chụp X-quang xơ phổi, tư thế người bệnh nên là hai tay chống hông hay nắm vị trí tay vịn của máy chụp X-quang; ngực áp sát hộp đựng phim; đặt cằm vào vị trí bệ tựa … Ở các trường hợp người bệnh không thể đứng thẳng, khi thực hiện chụp X-quang xơ phổi, người bệnh có thể được hướng dẫn tư thế khác phù hợp hơn.
Ngoài ra, chất lượng hình ảnh chụp X-quang xơ phổi có thể bị ảnh hưởng khi người bệnh hít thở. Vì thế, kỹ thuật viên có thể hướng dẫn hoặc yêu cầu người bệnh nín thở trong vài giây. Khi đó, kỹ thuật viên tiến hành thao tác chụp X-quang xơ phổi nhanh chóng cho người bệnh ở các góc độ khác nhau.
Thời gian chụp X-quang xơ phổi thông thường kéo dài chỉ vài phút, không gây khó chịu hay đau đớn cho người bệnh. Vì thế, người bệnh nên thoải mái, tuân thủ hướng dẫn của kỹ thuật viên, không nên quá căng thẳng hay lo lắng.
3.3. Sau khi chụp X-Quang xơ phổi
Người bệnh sau khi chụp X-quang xơ phổi xong, chỉ cần chỉnh lại trang phục và rời khỏi phòng chụp, chờ nhận kết quả từ bác sĩ. Thông thường, người bệnh không cần kiêng gì sau khi chụp X-quang xơ phổi, có thể tiếp tục sinh hoạt bình thường.
Tùy theo tình trạng của người bệnh, bác sĩ có thể có các chỉ định khác khi cần thiết cho người bệnh.
Các tổn thương với kích thước quá nhỏ hay các xơ sẹo lúc mới hình thành ở phế nang có thể không thể phát hiện được qua kỹ thuật chụp X-quang xơ phổi. Vì thế, người bệnh cần lưu giữ kết quả hình ảnh chụp X-quang cẩn thận, đặc biệt ở người mắc bệnh xơ phổi hay có nguy cơ, nghi ngờ mắc bệnh. Điều này rất quan trọng giúp bác sĩ có thể theo dõi và có phác đồ điều trị bệnh xơ phổi phù hợp cho người bệnh.
3.4. Đọc kết quả hình ảnh chụp X-Quang xơ phổi
Trong quá trình chẩn đoán bệnh xơ phổi, hình ảnh chụp X-quang xơ phổi có vai trò quan trọng. Thông qua hình ảnh chụp được, bác sĩ có thể phát hiện và đánh giá các tổn thương ở phổi.

Kết quả hình ảnh chụp X-quang xơ phổi
Trên phim X-quang chụp được, bệnh xơ phổi thường xuất hiện ở ngoại vi phổi với hình mờ dạng lưới, có thể rõ hơn về phía đáy phổi, có thể khiến hình ảnh của bờ tim trở nên gồ ghề, không rõ.
Dấu hiệu của bệnh xơ phổi trên phim X-quang có thể hiển thị dưới dạng các nang nhỏ có hình dạng giống tổ ong. Ở giai đoạn bệnh xơ phổi tiến triển, các tổn thương có thể lan tỏa và khiến thể tích phổi giảm.
Vì thế, khi người bệnh có những triệu chứng bất thường của bệnh xơ phổi nên nhanh chóng thăm khám cùng bác sĩ để được chẩn đoán bệnh kịp thời. Ngoài ra, mỗi người cũng có thể chủ động kiểm tra sức khỏe định kỳ hay thăm khám ngay khi nghi ngờ bản thân có nguy cơ mắc bệnh xơ phổi để chủ động tầm soát các tác nhân gây bệnh sớm nhất có thể.
